Mengapa Gusi Turun Membuat Wajah Tampak Lebih Tua?
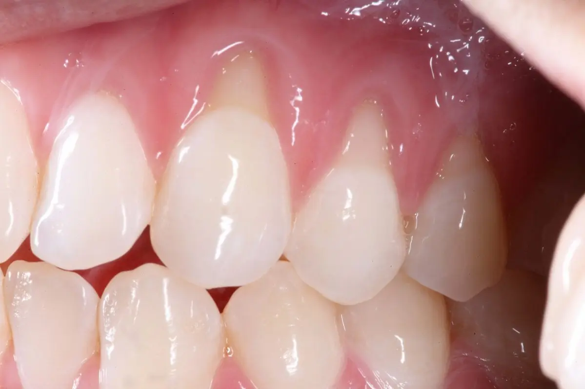
Perubahan kecil pada garis gusi dapat memberi dampak besar pada estetika wajah. Ketika gusi turun atau terjadi resesi gusi, jaringan gusi menyusut dan memperlihatkan bagian akar gigi yang berwarna lebih kekuningan.
Akibatnya:
Senyum tampak lebih “tajam” atau kurang lembut
Wajah terlihat lebih tua
Gigi tampak tidak simetris
Timbul sensitivitas saat terkena panas, dingin, atau manis
Resesi gusi bukan hanya masalah estetika, tetapi juga berkaitan dengan kesehatan pada jaringan penyangga gigi. Jika dibiarkan, kondisi ini dapat meningkatkan risiko sensitivitas gigi, karies pada akar gigi, bahkan gangguan stabilitas gigi atau meningkatkan gigi goyang di masa depan.
Penyebab Utama Gusi Turun (Resesi Gusi)
Beberapa faktor paling umum yang menyebabkan resesi gusi antara lain:
Teknik Sikat Gigi yang Terlalu Keras
Menyikat gigi dengan tekanan berlebihan atau menggunakan sikat berbulu kasar dapat mengikis jaringan gusi secara perlahan. Gerakan horizontal yang agresif menjadi penyebab klasik gusi menyusut.
Kebiasaan Bruxism (Menggertakkan Gigi)
Tekanan berulang akibat kebiasaan menggertakkan atau mengatupkan gigi terlalu kuat dapat mempercepat pergeseran jaringan gusi dan memperparah paparan akar gigi.
Penyakit Gusi (Periodontitis)
Infeksi kronis pada jaringan gusi dapat merusak jaringan penyangga gigi, dapat menyebabkan kehilangan tulang dan resesi progresif pada gusi.
Faktor Anatomis dan Genetik
Beberapa orang memiliki biotipe gusi yang lebih tipis sehingga lebih rentan mengalami gusi turun.
Solusi Non-Bedah untuk Mengatasi Resesi Gusi
Pada tahap awal, resesi gusi ringan dapat dikelola secara konservatif.
Edukasi Teknik Menyikat Gigi
Menggunakan sikat gigi berbulu lembut dan teknik menyikat yang benar dapat mencegah tekanan berlebihan pada gusi sehingga risiko resesi berkurang.
Pasta Gigi Desensitisasi
Jika akar gigi mulai terbuka dan menimbulkan rasa ngilu, dokter gigi dapat merekomendasikan pasta gigi khusus yang membantu menutup saluran dentin dan mengurangi sensitivitas.
Scaling dan Perawatan Periodontal
Jika resesi disebabkan oleh peradangan gusi, pembersihan profesional (scaling) dan perawatan periodontal membantu menghentikan perburukan kondisi gusi.
Perlu dipahami bahwa pendekatan non-bedah tidak selalu dapat mengembalikan jaringan gusi yang telah hilang, tetapi efektif untuk menghentikan progresi dan melindungi gigi dari masalah lebih lanjut.
Solusi Estetik dan Korektif untuk Gusi Menyusut
Jika gigi terlihat panjang dan akar sudah terekspos signifikan, beberapa prosedur estetik dan korektif dapat dipertimbangkan:
Gum Grafting (Cangkok Gusi)
Prosedur ini bertujuan menambahkan jaringan gusi untuk menutup akar yang terbuka. Manfaatnya antara lain:
Memperbaiki tampilan gigi dan garis gusi
Mengurangi sensitivitas gigi akibat akar terbuka
Melindungi akar gigi dari abrasi dan karies akar
Tindakan ini biasanya direkomendasikan pada pasien dengan resesi sedang hingga parah, terutama jika ada risiko infeksi akar gigi lebih lanjut.
Cervical Filling (Penambalan Leher Gigi)
Jika akar gigi yang terbuka sudah mengalami abrasi atau perubahan warna, penambalan sewarna gigi dapat:
Menyamarkan perbedaan warna antara gigi dan akar
Mengurangi rasa ngilu saat mengonsumsi makanan panas, dingin, atau manis
Membantu mempertahankan fungsi dan estetika gigi.
Pilihan Perawatan Lain (Jika Diperlukan)
Dalam kasus tertentu, kombinasi prosedur dapat dipertimbangkan, misalnya:
Perawatan gusi + veneer gigi untuk hasil estetika yang optimal
Perawatan periodontal lanjutan sebelum tindakan estetik, jika ada radang gusi atau masalah tulang penyangga
Hal yang Perlu Dipertimbangkan Sebelum Perawatan
Pemilihan prosedur untuk mengatasi resesi gusi bergantung pada:
Tingkat keparahan resesi
Kondisi tulang penyangga
Tujuan estetika jangka panjang
Diagnosis menyeluruh oleh dokter gigi berpengalaman sangat penting untuk menentukan pendekatan yang paling tepat.
Kesimpulan
Gusi turun (resesi gusi) bukan sekadar perubahan kecil pada garis senyum. Ketika gusi menyusut, gigi terlihat panjang, proporsi berubah, dan risiko sensitivitas meningkat.
Kabar baiknya, kondisi ini dapat dicegah dan dikendalikan. Perbaikan teknik menyikat gigi, pengelolaan bruxism, serta perawatan periodontal membantu menghentikan progresi. Pada kasus tertentu, prosedur seperti gum grafting atau cervical filling dapat mengembalikan estetika dan kenyamanan.
Menjaga kesehatan gusi berarti menjaga fondasi senyum yang awet muda.
Karena senyum yang harmonis tidak hanya tentang warna gigi, tetapi juga tentang keseimbangan jaringan di sekitarnya.
Referensi
Göler, B., Duman, I., & Agrali, Ö. B. (2024). Treatment of localized gingival recession: One year follow‑up. International Dental Journal, 74(Suppl. 1), S277. https://doi.org/10.1016/j.identj.2024.07.220
Imber, J. C., & Kasaj, A. (2021). Treatment of gingival recession: When and how? International Dental Journal, 71(3), 178–187. https://doi.org/10.1111/idj.12617
Shkreta, M., Atanasovska‑Stojanovska, A., Dollaku, B., & Belazelkoska, Z. (2018). Exploring the gingival recession surgical treatment modalities: A literature review. Open Access Macedonian Journal of Medical Sciences, 6(4), 698–708. https://doi.org/10.3889/oamjms.2018.185

